患者,男,68岁,因“双下肢水肿2周”入院。既往史:有“关节炎”病史,间断感双侧膝关节疼痛肿胀不适。查体:双下肢对称中度凹陷性水肿。入院诊断:1、双下肢水肿待查:肾源性?心源性?肝源性?2、高血压?
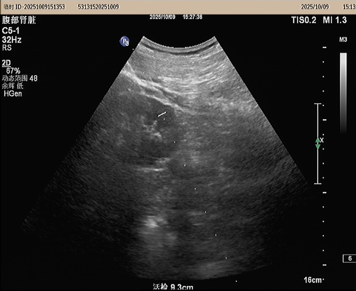
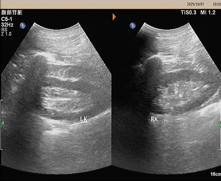
入院经过常规相关检查后考虑肾病综合征,为了进一步明确诊断,2025年10月9日,我院功能科在超声引导下行右肾下极实质穿刺活检术,病理活检:Ⅱ期膜性肾病。经治疗后患者血压控良好,下肢水肿消退,未诉特殊不适办理出院。


关于肾穿刺活检术
指在无菌B超或彩超的定位下,通过局部麻醉,用细小的穿刺针进行局部穿刺,再经光镜和电镜检查,从而做出正确的肾脏病理诊断。因此,为了明确治疗方案、判断疾病预后,医生往往需要对患者进行肾脏穿刺活检术。一旦医生告知患者需要行“肾脏穿刺”,很多患者往往会十分忐忑,认为在肾脏穿刺是一个“很可怕的手术”、“搞不好肾脏会坏掉”。其实肾脏穿刺的针非常细,直径只有1毫米左右,穿刺过程只需要几秒钟,整个过程就10分钟左右,全程医护人员也会陪同并指导配合,并没有想象中的那么可怕呢!
嘉陵医院血液透析中心戴永勤主任医师介绍说,肾脏疾病的病因多种多样,其严重程度、进展速度、治疗方案和*终预后千差万别。同一临床表现在不同的人身上也可能会出现不同的病理改变,不同的病理改变治疗方案有时会截然不同。比如,临床表现为肾病综合征,病理可以呈现为微小病变,轻微病变、轻度系膜增生、膜性肾病、膜增生性肾炎,局灶节段硬化等多种改变,其治疗方案及病情的发展结果也差别极大。

肾穿是一项常见且相对安全的检查技术。请您和您的家人重视肾脏疾病的前期征兆——不明原因水肿,夜尿增加、尿量增多,小便泡沫增多且不易消散,排尿颜色改变出现血尿,发现这些症状应及时就诊。无论是年轻人还是中老年人,平时都要重视常规体检,包括尿常规、肾功能和肾脏B超等检查,尽早发现肾脏病,才能早期干预,预防尿毒症的发生。